▲
골관절 치료 및 수술에 대한 풍부한 임상경험을 갖춘 숙련된 의료진의 집도를 통해 수술 성공률을 높이고 있습니다.
정확한 진단과 수술을 위해 최고 사양의 최신 장비를 활용하여 치료가 진행됩니다.
환자의 유형, 체형, 활동량 등을 진단하여 1:1 맞춤형 수술이 진행됩니다.
철저한 무균원칙 하에 2차 감염을 방지하는 안전한 수술실과 시스템을 운영하고 있습니다.
부작용 및 후유증 최소화를 위해 내과, 재활과, 영상의학과가 연계된 수준 높은 협진이 적용됩니다.
HUE’s DOCTORS
휴 동물의료센터의 골관절센터 의료진
아프고 불편한 부분이 빠르고 안전하게 해결될 수 있도록 최고의 전문 의료진이 검진부터 수술, 경과 확인까지 책임 진료합니다.
외과진료
정다정 대표원장
건국대학교 수의내과학 박사
미국 수의사 면허증
건국대학교 수의외과학 겸임교수
외과진료 정다정 대표원장 건국대학교 수의내과학 박사 미국 수의사 면허증건국대학교 수의외과학 겸임교수
배상우 외과원장
건국대학교 수의외과학 박사
외과진료 배상우 외과원장 건국대학교 수의외과학 박사
오세진 외과부장
건국대학교 수의외과학 석사
외과진료 오세진 외과부장 건국대학교 수의외과학 석사
슬개골 탈구
슬개골은 대퇴사두근 힘줄 안에 존재하는 작은 뼈로 무릎 관절을 구성하는 뼈 중 하나 입니다.
특히 무릎을 펼 때, 정강이를 효과적으로 들어올릴 수 있도록 지렛대 역할을 합니다.
슬개골탈구는 강아지에게, 그 중 소형견, 특히 뒷다리에 매우 흔하게 발생하는 대표적인 정형외과 질환입니다.
경골이 내측으로 자라면서 슬개구 탈구가 발생한 경우에는 배열이 올바르지 못한 경골 조면의 위치를 올바르게 이동하는 수술이 진행됩니다.
슬개골이 위치하는 고랑을 깊게 교정하여 탈구를 방지합니다.
대퇴골뼈의 기형이 발생한 경우에 적용됩니다.
변형된 다리뼈의 일부를 잘라낸 뒤 장치를 활용하여 바르게 고정합니다.
전십자인대 단열
전십자인대는 무릎 관절 내부에 위치하여 허벅지뼈와 정강이뼈를 연결합니다.
개의 전십자인대(CrCL)는 사람의 전방십자인대(ACL)와 해부학적으로 유사합니다.
사람이 경우에는 축구나 럭비같은 운동 중 발생하는 외상성 단열이 주 원인이지만 개는 퇴행성 질환으로 전십자인대 단열이 발생합니다.
TPLO는 절골술을 통해 경사진 경골 고평부의 각도를 완만한 각도로 (3~7도) 바꿔줌으로써 전십자 인대에 의존하지 않고 걸을 수 있도록 하는 수술적 치료입니다.
끊어진 십자인대를 대신할 인공 인대를 이식하는 수술입니다.
종아리뼈의 일부를 절단하여 경사도를 교정하는 수술입니다.
TPLO 를 적용하기 힘든 작은 아이나 이전에 관절낭 외봉합 등의 수술을 하여 TPLO를 적용하기 힘든 경우 실시합니다.
CBLO는 전십자인대 단열 시 경골 고평부의 각도를 바꾸어 주는 절골술 중의 하나로 TPLO를 적용할 수 없는 경우, 특히 성장이 끝나지 않은 어린 개체에서 적용할 수 있는 수술법 입니다.
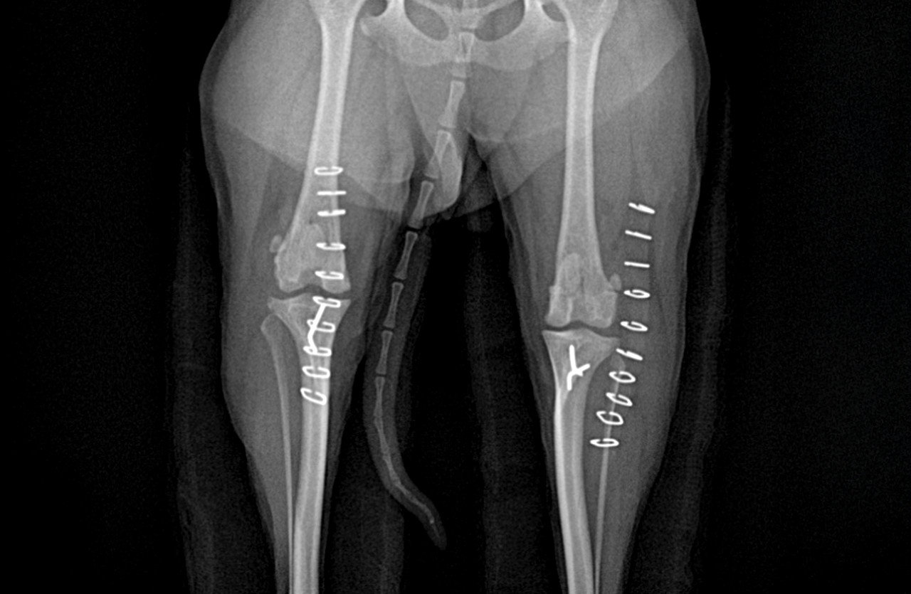
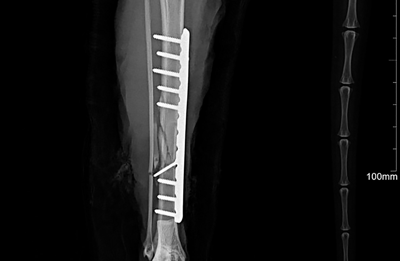
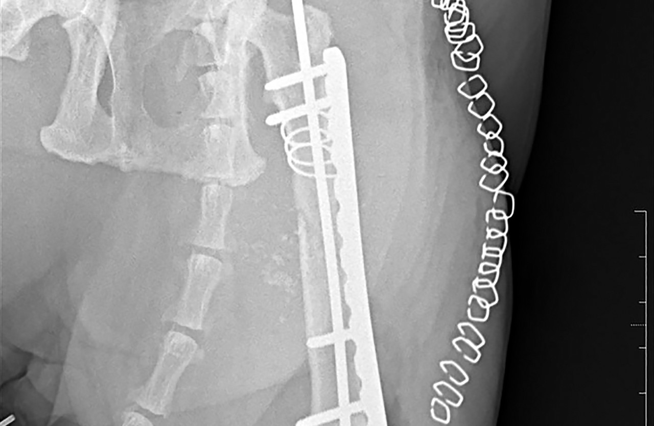
정형외과 다양한 수술
휴 동물의료센터에서는 보행이상을 발생시키는 골관절 질환과 관련하여 다양한 정형외과 수술을 정확하고 안전하게 시행하고 있습니다.
외부 충격으로 인해 다양한 골절이 발생할 수 있습니다.
휴 동물의료센터에서는 환자의 상태를 정확하게 진단하여 치료 효과를 높이고 휴유증을 최소하는 맞춤형 치료가 시행됩니다.
고관절 이형성증의 원인이 되는 관절 부위를 제거하는 수술입니다.
고관절 관련 질환은 수술 후 적절한 재활치료와 운동이 매우 중요합니다.
토글핀을 삽입하여 탈구된 뼈를 올바른 위치에 고정시키고 손상된 관절의 기능을 재건하는 수술입니다.
최소절개를 통해 내시경을 관절 내부에 삽입합니다.
실시간으로 관절 내부를 확인하며 치료가 가능합니다.
외상, 기형, 노화 등의 이유로 더 이상 다른 치료법이 어려운 손상된 관절 부위를 제거하고 특수 제작된 인공관절을 삽입하여 통증을 없애고, 정상 운동 기능을 확보하는 고난이도의 수술입니다.
HUE’s EQUIPMENTS
휴 동물의료센터의 골관절센터 의료 장비
정밀한 검진, 최상의 치료 효과를 위해
최고 사양의 의료 장비를 사용합니다.
정밀한 검진, 최상의 치료 효과를 위해 최고 사양의 의료 장비를 사용합니다.
C-arm 이동식 X-ray 영상기기
GE OEC One CFD 31cm VMTS
뼈, 관절, 혈관 등을 X-ray를 통해 연속 투시할 수 있는 특수 영상장치 입니다.
실시간 투시 영상을 확인하며 수술을 진행할 수 있기 때문에 수술의 정확도 및 안정성을 높일 수 있게 해줍니다.
휴 동물의료센터에서는 정확한 검진을 위해 국내 최고 사양의 C-arm 장비를 적극 활용하고 있습니다.
C-arm 이동식 X-ray 영상기기 GE OEC One CFD 31cm VMTS 뼈, 관절, 혈관 등을 X-ray를 통해 연속 투시할 수 있는 특수 영상장치 입니다. 실시간 투시 영상을 확인하며 수술을 진행할 수 있기 때문에 수술의 정확도 및 안정성을 높일 수 있게 해줍니다. 휴 동물의료센터에서는 정확한 검진을 위해 국내 최고 사양의 C-arm 장비를 적극 활용하고 있습니다.
정형외과 전동드릴 기기
SYNTHES COLIBRI Ⅱ Drill
외과 수술에 사용하는 전동드릴 기기입니다.
슬개골탈구, 전십장인대 등 다양한 정형외과 수술에 폭 넓게 활용됩니다.
휴 동물의료센터에서는 세계 최고의 신뢰도를 자랑하는 스위스 Synthes사의 장비를 사용하여 효과적인 수술을 시행하고 있습니다.
정형외과 전동드릴 기기 SYNTHES COLIBRI Ⅱ Drill 외과 수술에 사용하는 전동드릴 기기입니다. 슬개골탈구, 전십장인대 등 다양한 정형외과 수술에 폭 넓게 활용됩니다. 휴 동물의료센터에서는 세계 최고의 신뢰도를 자랑하는 스위스 Synthes사의 장비를 사용하여 효과적인 수술을 시행하고 있습니다.
플레이트 스크류 장비
SYNTHES / biortho / Doiff / Able
골절된 뼈를 고정하기 위해 사용하는 의료용 자재입니다.
체내에 부착되고 체형, 뼈 구조, 골절 형태 등에 따라 맞춤형으로 각각 다른 종류를 사용하게 됩니다.
휴 동물의료센터에서는 안전하고 효과적인 치료를 위해 프리미엄급 플레이트 스크류를 사용하고 있습니다.
플레이트 스크류 장비 SYNTHES / biortho / Doiff / Able 골절된 뼈를 고정하기 위해 사용하는 의료용 자재입니다. 체내에 부착되고 체형, 뼈 구조, 골절 형태 등에 따라 맞춤형으로 각각 다른 종류를 사용하게 됩니다. 휴 동물의료센터에서는 안전하고 효과적인 치료를 위해 프리미엄급 플레이트 스크류를 사용하고 있습니다.
뼈, 관절, 혈관 등을 X-ray를 통해 연속 투시할 수 있는
특수 영상장치 입니다.
실시간 투시 영상을 확인하며 수술을 진행할 수 있기 때문에
수술의 정확도 및 안정성을 높일 수 있게 해줍니다.
휴 동물의료센터에서는 정확한 검진을 위해
국내 최고 사양의 C-arm 장비를 적극 활용하고 있습니다.
슬개골탈구, 전십장인대 등
다양한 정형외과 수술에 폭 넓게 활용됩니다.
휴 동물의료센터에서는 세계 최고의 신뢰도를 자랑하는
스위스 Synthes사의 장비를 사용하여 효과적인 수술을
시행하고 있습니다.
체내에 부착되고 체형, 뼈 구조, 골절 형태 등에 따라
맞춤형으로 각각 다른 종류를 사용하게 됩니다.
휴 동물의료센터에서는 안전하고 효과적인 치료를 위해
프리미엄급 플레이트 스크류를 사용하고 있습니다.
HUE’s SPECIALITIES
휴 동물의료센터의 특별함
임상경험이 풍부한 전문 의료진의 책임 진료
서울대, 건국대 등 대학병원 석박사 출신의 국내 최고 수준의 의료진이 전문성을 바탕으로 최선을 다해 책임 진료합니다.
대학병원급 최고 사양 정밀 의료기기를 통한 정확하고 안전한 진료
정확한 진단과 효과적인 치료를 위해 국내 최고 수준의 첨단 의료기기를 활용하고 있습니다.
최적의 치료를 위한 분야별 전문 진료센터 운영
외과, 내과, 영상의학과, 안과, 재활과, 응급진료과 등 심도 있는 협진을 통해 수준 높은 의료 서비스를 약속드립니다.
보호자도 반려동물도 모두 편안한 공간
최상의 진료 효과를 위한 쾌적한 환경이 준비되어 있습니다.
작은 불편함도 해결될 수 있도록 친절과 배려를 담아 진료합니다.
HUE’s LOCATION & INFO
휴 동물의료센터의 오시는 길 & 진료안내
주소
경기도 성남시 수정구 산성대로 309 고려빌딩 2~3층 [접수 · 수납 3층]
대중교통
8호선 신흥역 4번 출구에서 도보 5분 거리
주차
건물 내 지하 주차장, 건물 뒤 공영 주차장 이용 가능
전화번호
031-735-7582
진료시간
평 일 / 토 · 일 · 공휴일 : 24시간 진료
주간진료 : 오전 9시 ~ 오후 9시 (점심시간에도 정상 진료합니다)
야간진료 : 오후 9시 ~ 오전 9시
TEL : 031-735-7582
E-MAIL : hueanimal@gmail.com
COPYRIGHT © HUE ANIMAL MEDICAL CENTER.
ALL RIGHT RESERVED.
서울대, 건국대 등 대학병원 석박사 출신의 국내 최고 수준의 의료진이
전문성을 바탕으로 최선을 다해 책임 진료합니다.
대학병원급 최고 사양 정밀 의료기기를 통한
정확하고 안전한 진료
정확한 진단과 효과적인 치료를 위해
국내 최고 수준의 첨단 의료기기를 활용하고 있습니다.
외과, 내과, 영상의학과, 안과, 재활과, 응급진료과 등
심도 있는 협진을 통해 수준 높은 의료 서비스를 약속드립니다.
HUE’s
LOCATION & INFO
COPYRIGHT © HUE ANIMAL MEDICAL CENTER. ALL RIGHT RESERVED.